Tại Sao Nên Cạo Vôi Răng Định Kỳ? 8 Tác Hại Của Vôi Răng
Bạn có thường xuyên thắc mắc tại sao mình đánh răng rất kỹ 2 lần/ngày, dùng cả chỉ nha khoa nhưng miệng vẫn có mùi, răng vẫn ố vàng, và thỉnh thoảng nướu bị chảy máu khi chải răng?
Câu trả lời rất có thể nằm ở VÔI RĂNG (hay cao răng) – “kẻ thù thầm lặng” của sức khỏe răng miệng mà bàn chải thông thường không thể loại bỏ.
Đây là lý do tại sao việc cạo vôi răng định kỳ tại nha khoa là một trong những bước quan trọng nhất để duy trì một hàm răng chắc khỏe và nụ cười rạng rỡ. Hãy cùng các chuyên gia tại NHA KHOA AN tìm hiểu sâu hơn về tầm quan trọng của thủ thuật nha khoa cơ bản này.

Vôi răng (cao răng) là gì và hình thành như thế nào?
Để hiểu tại sao phải cạo vôi răng, trước hết chúng ta cần phân biệt rõ hai khái niệm: Mảng bám và Vôi răng.
- Mảng bám: Là một lớp màng mềm, dính, không màu (hoặc màu vàng nhạt) chứa đầy vi khuẩn, liên tục hình thành trên bề mặt răng của chúng ta. Mảng bám hình thành chỉ vài giờ sau khi ăn. Bạn CÓ THỂ loại bỏ mảng bám bằng cách chải răng và dùng chỉ nha khoa đúng cách.
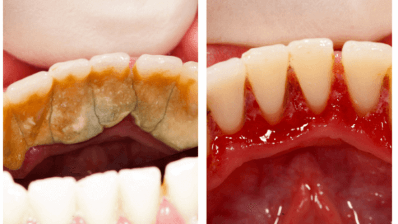
- Vôi răng (Cao răng): Khi mảng bám không được làm sạch triệt để, các khoáng chất có trong nước bọt (như Canxi và Phosphate) sẽ lắng đọng và “vôi hóa” lớp mảng bám này, khiến nó trở nên cứng, bám chặt vào bề mặt răng. Đây chính là vôi răng.
Một khi đã hình thành, vôi răng KHÔNG THỂ được làm sạch bằng bàn chải hay bất kỳ dụng cụ vệ sinh tại nhà nào, mà bắt buộc phải có sự can thiệp của nha sĩ bằng các dụng cụ chuyên dụng. Vôi răng có thể hình thành cả bên trên nướu (thấy được bằng mắt thường, màu vàng nhạt) và bên dưới nướu (nguy hiểm hơn, màu sẫm hơn).
8 tác hại “khôn lường” của vôi răng nếu không được làm sạch
Vôi răng không chỉ đơn thuần là một vấn đề thẩm mỹ. Lớp màng cứng này chính là một “ổ vi khuẩn” cố định trong miệng, trực tiếp gây ra hàng loạt các bệnh lý răng miệng nghiêm trọng:
1. Gây hôi miệng kéo dài
Vi khuẩn trong mảng bám và vôi răng phân hủy thức ăn thừa và tiết ra các hợp chất lưu huỳnh dễ bay hơi, gây ra mùi hôi miệng khó chịu. Đây là một trong những nguyên nhân hàng đầu khiến bạn mất tự tin trong giao tiếp.
2. Gây viêm nướu, chảy máu chân răng
Đây là dấu hiệu cảnh báo sớm và phổ biến nhất. Vôi răng tích tụ sẽ kích ứng nướu, khiến nướu bị sưng đỏ, dễ bị tổn thương và chảy máu khi đánh răng hoặc ăn nhai.

3. Gây bệnh viêm nha chu
Nếu tình trạng viêm nướu không được điều trị (bằng cách cạo vôi răng), nó sẽ tiến triển thành bệnh viêm nha chu. Đây là một bệnh nhiễm trùng nghiêm trọng.
- Vi khuẩn bắt đầu tấn công sâu hơn, khiến nướu tụt ra khỏi răng, tạo thành các “túi nha chu” (khe hở giữa nướu và răng).
- Các túi này lại tiếp tục chứa đầy vi khuẩn và vôi răng, tạo thành một vòng luẩn quẩn nhiễm trùng.
4. Dẫn đến tiêu xương, lung lay và mất răng
Hậu quả cuối cùng và nghiêm trọng nhất của viêm nha chu là tiêu xương ổ răng. Độc tố từ vi khuẩn sẽ phá hủy các mô liên kết và xương nâng đỡ răng. Khi xương bị tiêu, răng không còn chỗ bám vững chắc, sẽ dần dần lung lay và cuối cùng là gãy rụng, ngay cả khi răng không hề bị sâu.
5. Gây sâu răng
Bề mặt thô ráp của vôi răng là nơi lý tưởng để mảng bám vi khuẩn mới bám vào. Vi khuẩn trong mảng bám này sẽ “ăn” đường từ thức ăn và sản sinh ra axit, ăn mòn men răng và gây sâu răng.
6. Làm răng ố vàng, mất thẩm mỹ
Bề mặt vôi răng xốp, dễ bị nhiễm màu từ thực phẩm, đồ uống (như trà, cà phê, rượu vang) hoặc thuốc lá, khiến hàm răng của bạn trông ố vàng, lốm đốm và rất mất vệ sinh.
7. Tụt nướu, lộ chân răng
Sự tích tụ vôi răng lâu ngày đẩy nướu tụt xuống thấp, làm lộ phần chân răng. Chân răng không có lớp men bảo vệ nên rất nhạy cảm, gây ra tình trạng ê buốt, tê răng khi ăn đồ nóng, lạnh hoặc chua.
8. Ảnh hưởng đến sức khỏe toàn thân
Nhiều nghiên cứu khoa học đã chỉ ra mối liên hệ giữa vi khuẩn từ bệnh nha chu (do vôi răng gây ra) với các bệnh lý toàn thân nghiêm trọng như:
- Bệnh tim mạch: Vi khuẩn có thể xâm nhập vào máu, gây viêm nhiễm ở động mạch.
- Bệnh tiểu đường: Viêm nha chu làm tăng đường huyết, khiến việc kiểm soát tiểu đường khó khăn hơn.
- Biến chứng thai kỳ: Tăng nguy cơ sinh non, trẻ sơ sinh nhẹ cân.
5 lợi ích vàng của việc cạo vôi răng định kỳ
Cạo vôi răng là phương pháp đơn giản, nhanh chóng nhưng mang lại những lợi ích vô giá cho sức khỏe răng miệng của bạn:
- Phòng ngừa bệnh lý nguy hiểm: Đây là lợi ích lớn nhất. Cạo vôi răng định kỳ giúp loại bỏ hoàn toàn “thủ phạm” gây viêm nướu, nha chu, sâu răng, bảo vệ hàm răng của bạn ngay từ gốc.
- Chấm dứt hôi miệng: Khi ổ vi khuẩn được loại bỏ, hơi thở của bạn sẽ trở nên thơm tho, giúp bạn tự tin hơn.
- Giúp răng sạch sẽ, sáng hơn: Thủ thuật cạo vôi răng thường đi kèm với đánh bóng. Quá trình này không chỉ làm sạch vôi răng mà còn loại bỏ các mảng bám màu trên bề mặt, giúp răng trở nên sáng bóng, sạch sẽ và thẩm mỹ hơn.
- Phát hiện sớm các vấn đề răng miệng khác: Trong quá trình cạo vôi răng, nha sĩ sẽ thăm khám tổng quát toàn bộ khoang miệng, giúp phát hiện sớm các lỗ sâu răng mới chớm, các vấn đề về nướu… để điều trị kịp thời.
- Tiết kiệm chi phí tối đa: Chi phí cho một lần cạo vôi răng định kỳ là rất nhỏ so với chi phí bạn phải bỏ ra để điều trị các bệnh lý nặng như viêm nha chu, chữa tủy, bọc sứ hay cắm Implant do mất răng. “Phòng bệnh hơn chữa bệnh” luôn là lựa chọn tài chính thông minh nhất.

Cạo vôi răng có đau không? Có hại men răng không?
Đây là những vấn đề liên quan đến cạo vôi răng mà nhiều người vẫn hay thắc mắc trước khi thực hiện, nhiều nghiên cứu đã chỉ ra rằng:
- Cạo vôi răng KHÔNG ĐAU: Với công nghệ cạo vôi răng bằng sóng siêu âm Piezotome hiện đại, thủ thuật này diễn ra vô cùng nhẹ nhàng. Sóng siêu âm tạo ra các rung động tần số cao, chỉ tác động làm vỡ các mảng vôi răng cứng đầu mà không xâm lấn đến mô nướu hay răng thật. Bạn sẽ chỉ cảm thấy hơi rung nhẹ và mát do tia nước. Cảm giác ê buốt nhẹ chỉ có thể xảy ra ở những người có vôi răng quá dày, bám sâu dưới nướu hoặc nướu đang bị viêm nặng từ trước.
- Cạo vôi răng KHÔNG HẠI MEN RĂNG: Sóng siêu âm được thiết kế để chỉ nhận diện và phá vỡ liên kết của vôi răng, hoàn toàn không đủ lực để làm mài mòn hay tổn thương lớp men răng cứng chắc của bạn.
Bao lâu nên cạo vôi răng một lần?
Để duy trì sức khỏe răng miệng tối ưu, các nha sĩ khuyến cáo bạn nên đi cạo vôi răng định kỳ:
- Mỗi 6 tháng/lần: Đây là tần suất tiêu chuẩn cho hầu hết mọi người có sức khỏe răng miệng bình thường.
- Mỗi 3 – 4 tháng/lần: Đối với những trường hợp đặc biệt như:
- Người hút thuốc lá, uống nhiều trà, cà phê.
- Người có cấu trúc răng dễ tích tụ mảng bám.
- Người đang trong quá trình niềng răng mắc cài.
- Người có tiền sử bệnh viêm nha chu.
Đừng xem nhẹ việc cạo vôi răng! Đây không phải là một dịch vụ “làm đẹp” tùy chọn, mà là một yêu cầu “bắt buộc” để bảo vệ sức khỏe răng miệng của bạn và cả gia đình. Chỉ 30-45 phút định kỳ mỗi 6 tháng, bạn đã có thể ngăn ngừa được 90% các bệnh lý răng miệng nguy hiểm.
Hãy để NHA KHOA AN chăm sóc nụ cười của bạn. Liên hệ ngay hotline: 0979 991 132 để đặt lịch hẹn cạo vôi răng và thăm khám tổng quát miễn phí!


