Cạo Vôi Răng
Trong quá trình ăn uống và sinh hoạt hàng ngày, khoang miệng luôn tiếp xúc với thức ăn, vi khuẩn và khoáng chất từ nước bọt. Khi vệ sinh răng miệng chưa đúng hoặc chưa đủ kỹ, các mảng bám sẽ tích tụ trên bề mặt răng và kẽ răng. Theo thời gian, mảng bám này cứng lại và hình thành vôi răng. Một khi vôi răng đã bám chặt, việc đánh răng thông thường sẽ không thể loại bỏ được nữa. Đó là lý do cạo vôi răng định kỳ trở thành một bước chăm sóc quan trọng để giữ cho răng nướu luôn khỏe mạnh, hơi thở dễ chịu và nụ cười tự nhiên.
Cạo vôi răng không phải là thủ thuật thẩm mỹ đơn thuần, mà là hành động bảo vệ sức khỏe răng miệng từ nền tảng. Việc loại bỏ vôi răng đúng cách giúp ngăn ngừa các bệnh lý như viêm nướu, tụt nướu, viêm nha chu và giảm nguy cơ mất răng về lâu dài. Một hàm răng sạch là nền tảng để nụ cười sáng khỏe theo năm tháng.
Vôi răng là gì và vì sao cần phải cạo vôi răng?
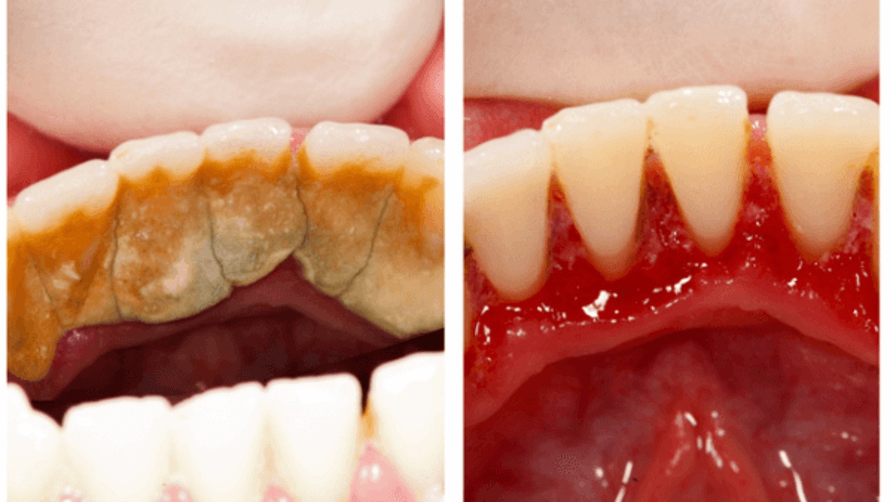
Vôi răng là lớp cặn cứng được hình thành từ mảng bám và khoáng trong nước bọt. Bạn có thể thấy vôi răng dưới dạng lớp màu vàng, nâu hoặc trắng đục ở gần chân răng và mặt trong của răng cửa. Khi vôi răng tích tụ, vi khuẩn dễ dàng sinh sôi và gây ra mùi hôi, viêm nướu và chảy máu khi chải răng.
Nếu không được loại bỏ, vôi răng có thể lan sâu xuống dưới nướu, khiến mô nướu suy yếu, gây tụt lợi và thậm chí làm tiêu xương quanh răng. Khi đó, răng sẽ dần trở nên lung lay và khó giữ được lâu dài. Vì vậy, cạo vôi răng chính là cách ngăn bệnh từ sớm và bảo vệ cấu trúc răng nướu bên dưới.
Cạo vôi răng mang lại những lợi ích gì?
Ngăn ngừa viêm nướu và nha chu
Loại bỏ ổ vi khuẩn tích tụ giúp nướu khỏe mạnh, hồng hào và ít chảy máu hơn khi đánh răng.
Giúp hơi thở thơm tho hơn
Khi mảng bám được làm sạch, vi khuẩn gây mùi được giảm bớt đáng kể.
Duy trì răng chắc khỏe
Răng được bảo vệ khỏi tình trạng lung lay do tiêu xương quanh răng.
Tăng hiệu quả vệ sinh răng miệng hằng ngày
Bề mặt răng sau khi được làm sạch trở nên trơn láng, giúp hạn chế bám lại thức ăn và mảng bám mới.
Cạo vôi răng là một bước nhỏ, nhưng lại có vai trò lớn trong việc duy trì sức khỏe răng miệng bền vững.
Bao lâu nên cạo vôi răng một lần?
Tần suất cạo vôi răng phụ thuộc vào thói quen ăn uống, cơ địa và khả năng vệ sinh răng miệng của từng người. Tuy nhiên, các chuyên gia thường khuyến nghị:
- 3 – 6 tháng một lần đối với đa số trường hợp
- Ngắn hơn nếu bạn uống nhiều cà phê, trà, hút thuốc lá hoặc dễ tích tụ mảng bám
Điều quan trọng là đều đặn, không đợi đến khi nướu sưng, đau hay chảy máu mới đi cạo vôi răng.
Cảm giác khi cạo vôi răng
Nhiều người lo ngại rằng cạo vôi răng sẽ gây ê buốt. Thực tế, cảm giác này thường nhẹ và chỉ xuất hiện ở những răng nhạy cảm hoặc khi vôi răng bám quá dày. Khi được thực hiện nhẹ nhàng và đúng kỹ thuật, quá trình này khá thoải mái và nhanh chóng. Sau đó, răng thường có cảm giác sạch và nhẹ hơn rõ rệt.
Việc giữ tâm lý thoải mái, hít thở nhẹ nhàng và thả lỏng cơ hàm sẽ giúp trải nghiệm cạo vôi dễ chịu hơn rất nhiều.
Cách chăm sóc sau khi cạo vôi răng
Để duy trì kết quả lâu dài:
- Đánh răng ít nhất 2 lần mỗi ngày
- Dùng chỉ nha khoa hoặc tăm nước để làm sạch kẽ răng
- Hạn chế thực phẩm nhiều đường, nước có ga và cà phê đậm màu
- Uống đủ nước để giữ khoang miệng sạch tự nhiên
- Khám và vệ sinh răng định kỳ theo hướng dẫn
Chăm sóc đúng cách sẽ giúp răng nướu luôn khỏe mạnh và giảm tốc độ tích tụ vôi trở lại.
Lời kết
Cạo vôi răng là một bước đơn giản nhưng đóng vai trò quan trọng trong việc duy trì sức khỏe răng miệng. Khi mảng bám và vôi răng được loại bỏ thường xuyên, nướu khỏe hơn, răng chắc hơn và hơi thở dễ chịu hơn. Một nụ cười khỏe mạnh không chỉ đến từ việc làm đẹp, mà còn từ thói quen chăm sóc nhỏ mà đều đặn mỗi ngày.
Mỗi nụ cười đều xứng đáng được chăm sóc đúng cách. Hãy gọi hotline 097 9991 132 để được NHA KHOA AN tư vấn và đặt lịch cạo vôi răng định kỳ phù hợp.
Bài viết liên quan

Cạo Vôi Răng
Trong quá trình ăn uống và sinh hoạt hàng ngày, khoang miệng luôn tiếp xúc với thức ăn, vi khuẩn và khoáng chất từ nước bọt. Khi vệ sinh răng

Tẩy Trắng Răng
Nụ cười luôn là điểm nhấn quan trọng trong giao tiếp. Một hàm răng trắng sáng có thể giúp chúng ta tự tin hơn, dễ dàng thể hiện cảm xúc

Khám Răng Tổng Quát
Răng miệng là một phần quan trọng trong sức khỏe tổng thể, nhưng nhiều người chỉ chú ý đến răng khi đã xuất hiện đau nhức hoặc khó chịu. Thực
